Smile Gallery
Click the numbers below to view photos of actual patients treated by Dr. Lee and Dr. Brett.
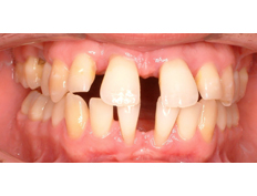
Before
After
Phone: 973-379-3803
Email:
Click the numbers below to view photos of actual patients treated by Dr. Lee and Dr. Brett.
Before
After
Springfield Orthodontics - Orthodontists Lee Kaswiner, DDS, FACD, and Brett Handsman, DMD
165 Mountain Avenue | Springfield, NJ 07081 | P: 973-379-3803 | F: 973-379-3212 | Email:
Patient Login | Home | Contact Us | What Sets Us Apart | Community | About Our Office
For New Patients | Invisalign | About Orthodontics | Emergency Care | Smile Gallery | Site Map